×
Close
Login
Home
SCI Abstract
Library D
Community
Events
Events & Partner
WeMed
Media Partners
Educational Partner
User Tools
FAQ/USER GUIDE
Language
English
中文/ Chinese
Contact Us
×
Close
mdla_1
mdla_2
mdla_3
mdla_4
mdla_5
mdla_6
Categories
Clinical Neurology
16225
Global Medical University
4984
Allergy
1778
Anatomy & Morphology
1547
Andrology
414
Anesthesia & Intensive Care
1191
Anesthesiology
5409
Audiology & Speech-Language Pathology
333
Behavioral Sciences
104
Biochemical Research Methods
6773
Biochemistry & Molecular Biology
29193
Biodiversity Conservation
287
Biology
8218
Biophysics
8073
Biotechnology & Applied Microbiology
8124
Cardiac & Cardiovascular Systems
30613
Cardiovascular & Respiratory Systems
1372
Cell & Tissue Engineering
654
Cell Biology
10809
Chemistry, Analytical
4215
Chemistry, Applied
11000
Chemistry, Medicinal
8464
Chemistry, Multidisciplinary
18460
Clinical Immunology & Infectious Disease
425
Clinical Medicine
8743
Clinical Psychology & Psychiatry
1276
Critical Care Medicine
3123
Dentistry, Oral Surgery & Medicine
12879
Dermatology
7541
Developmental Biology
6887
Ecology
655
Education, Scientific Disciplines
1894
Emergency Medicine
3952
Endocrinology, Metabolism & Nutrition
23481
Engineering, Biomedical
3604
Entomology
432
Environmental Medicine & Public Health
4625
Evolutionary Biology
256
Gastroenterology & Hepatology
11803
General & Internal Medicine
6913
Genetics & Heredity
14689
Geriatrics & Gerontology
5009
Gerontology
334
Health Care Sciences & Services
15553
Health Policy & Services
601
Hematology
5452
Immunology
24612
Infectious Diseases
13606
Integrative & Complementary Medicine
2797
Medical Ethics
1138
Medical Informatics
2114
Medical Laboratory Technology
433
Medicine, General & Internal
44098
Medicine, Legal
479
Medicine, Research & Experimental
17396
Microbiology
22714
Mycology
0
Nanoscience & Nanotechnology
5003
Neuroimaging
1280
Neurology
4396
Neurosciences
38938
Nursing
9282
Nutrition & Dietetics
7771
Obstetrics & Gynecology
8032
Oncology
51417
Ophthalmology
9448
Optics
4041
Orthopedics
11319
Orthopedics, Rehabilitation & Sports Medicine
1713
Otolaryngology
1494
Otorhinolaryngology
4785
Parasitology
1033
Pathology
4837
Pediatrics
21020
Peripheral Vascular Disease
4644
Pharmacology & Pharmacy
33932
Pharmacology/Toxicology
12014
Physiology
8866
Polymer Science
539
Primary Health Care
794
Psychiatry
18811
Psychology
5057
Psychology, Applied
91
Psychology, Biological
316
Psychology, Clinical
784
Psychology, Developmental
235
Psychology, Educational
132
Psychology, Experimental
123
Psychology, Mathematical
0
Psychology, Multidisciplinary
1579
Psychology, Psychoanalysis
41
Psychology, Social
114
Public Health & Health Care Science
2205
Public, Environmental & Occupational Health
26934
Quantum Science & Technology
0
Radiology, Nuclear Medicine & Imaging
12009
Radiology, Nuclear Medicine & Medical Imaging
7764
Rehabilitation
2951
Remote Sensing
0
Reproductive Biology
2732
Reproductive Medicine
1164
Research/Laboratory Medicine & Medical Technology
3854
Respiratory System
7094
Rheumatology
5683
Social Sciences, Biomedical
1178
Substance Abuse
2656
Surgery
33130
Toxicology
4204
Transplantation
939
Tropical Medicine
314
Urology & Nephrology
12700
Veterinary Sciences
35
Virology
2371
Zoology
0
Channels
NEUROGENETICS
112
Dental Journal of Advance Studies
47
JOURNAL OF BRACHIAL PLEXUS AND PERIPHERAL NERVE INJURY
31
International Journal of Epilepsy
23
ALZHEIMERS & DEMENTIA
174
ALZHEIMERS RESEARCH & THERAPY
430
ANNALS OF NEUROLOGY
197
BIPOLAR DISORDERS
122
BRAIN STIMULATION
0
CEPHALALGIA
109
CURRENT NEUROLOGY AND NEUROSCIENCE REPORTS
210
CURRENT OPINION IN NEUROLOGY
223
EUROPEAN ARCHIVES OF PSYCHIATRY AND CLINICAL NEUROSCIENCE
484
INTERNATIONAL JOURNAL OF STROKE
23
JOURNAL OF NEURODEVELOPMENTAL DISORDERS
142
JOURNAL OF NEUROLOGY
1009
LANCET NEUROLOGY
19
MULTIPLE SCLEROSIS JOURNAL
153
NATURE REVIEWS NEUROLOGY
392
NEUROGASTROENTEROLOGY AND MOTILITY
183
NEUROLOGY
2208
NEUROLOGY-NEUROIMMUNOLOGY & NEUROINFLAMMATION
323
NEUROSCIENTIST
20
PSYCHIATRY AND CLINICAL NEUROSCIENCES
59
SLEEP MEDICINE
0
THERAPEUTIC ADVANCES IN NEUROLOGICAL DISORDERS
57
ACTA NEUROLOGICA SCANDINAVICA
112
AMERICAN JOURNAL OF ALZHEIMERS DISEASE AND OTHER DEMENTIAS
25
ANNALS OF INDIAN ACADEMY OF NEUROLOGY
245
CEREBROVASCULAR DISEASES
223
CLINICAL EEG AND NEUROSCIENCE
53
CLINICAL JOURNAL OF PAIN
49
EPILEPSY & BEHAVIOR
0
EPILEPSY RESEARCH
0
EPILEPTIC DISORDERS
66
EUROPEAN NEUROLOGY
133
JOURNAL OF NEUROLOGIC PHYSICAL THERAPY
17
JOURNAL OF NEUROSURGICAL ANESTHESIOLOGY
67
JOURNAL OF PAIN RESEARCH
886
NEURODEGENERATIVE DISEASES
47
NEUROEPIDEMIOLOGY
113
NEUROLOGIST
33
OTOLOGY & NEUROTOLOGY
347
PAIN AND THERAPY
291
PEDIATRIC NEUROLOGY
1
SCHMERZ
98
SEMINARS IN PEDIATRIC NEUROLOGY
118
SPINE
57
STROKE AND VASCULAR NEUROLOGY
191
JOURNAL OF NEUROLOGICAL SURGERY PART A-CENTRAL EUROPEAN NEUROSURGERY
228
JOURNAL OF THE NEUROLOGICAL SCIENCES
51
MULTIPLE SCLEROSIS AND RELATED DISORDERS
1281
NEUROLOGIC CLINICS
81
NEUROMUSCULAR DISORDERS
32
SEMINARS IN NEUROLOGY
211
ZEITSCHRIFT FUR EPILEPTOLOGIE
83
TREMOR AND OTHER HYPERKINETIC MOVEMENTS
83
SOMNOLOGIE
57
AFRICAN JOURNAL OF NEUROLOGICAL SCIENCES
55
BRAIN CIRCULATION
91
BRITISH JOURNAL OF PAIN
35
CASE REPORTS IN NEUROLOGY
152
CLINICAL NEUROPSYCHIATRY
23
DEMENTIA AND GERIATRIC COGNITIVE DISORDERS EXTRA
46
EUROPEAN STROKE JOURNAL
45
INTERVENTIONAL NEUROLOGY
10
IRANIAN JOURNAL OF CHILD NEUROLOGY
159
JOURNAL OF NEUROLOGICAL SURGERY REPORTS
67
JOURNAL OF NEUROSCIENCES IN RURAL PRACTICE
156
JOURNAL OF PEDIATRIC NEUROPSYCHOLOGY
59
MOVEMENT DISORDERS CLINICAL PRACTICE
187
MULTIPLE SCLEROSIS JOURNAL-EXPERIMENTAL TRANSLATIONAL AND CLINICAL
57
NEUROHOSPITALIST
54
NEUROLOGY AND CLINICAL NEUROSCIENCE
69
NEUROLOGY INTERNATIONAL
3
NEUROLOGY-CLINICAL PRACTICE
236
NEURO-ONCOLOGY PRACTICE
24
CURRENT PAIN AND HEADACHE REPORTS
243
NEUROCRITICAL CARE
567
NEUROLOGICAL SCIENCES
1177
NEURORADIOLOGY
492
SLEEP AND BIOLOGICAL RHYTHMS
189
SCI Abstract
search
ALL
RECOMMENDED
+
DHDDS-related epilepsy with hippocampal atrophy: a case report
Developmental delay and seizures with or without movement abnormalities (DEDSM) is a neurodevelopmental phenotype associat...
Neurogenetics
comment
0
thumb_up
0
Epigenetic dysregulation in glioblastoma: potential pathways to precision medicine
The emerging field of epigenetics has been driving glioblastoma multiforme (GBM) development and progression. Various epig...
Neurogenetics
comment
0
thumb_up
0
Analysis of Alzheimer’s disease associated deleterious non-synonymous single nucleotide polymorphisms and their impacts on protein structure and function by performing in-silico methods
Alzheimer’s disease (AD) is a neurodegenerative disorder that is presented with a progressive loss of memory, a decl...
Neurogenetics
comment
0
thumb_up
0
Mild neurodevelopmental disorder due to reduced SHMT2 enzymatic activity caused by novel compound heterozygous variants: expanding the phenotypic spectrum
Biallelic variants in SHMT2 cause neurodevelopmental disorders with cardiomyopathy, spasticity, and brain abnormalities (N...
Neurogenetics
comment
0
thumb_up
0
Nutrigenomics and neurological disorders: exploring diet-brain interactions for cognitive health
This review article investigates the intricate relationship between nutrigenomics and neurological disorders, highlighting...
Neurogenetics
comment
0
thumb_up
0
Clinical and genetic diversity in Iranian individuals with RAPSN-related congenital myasthenic syndrome
Congenital myasthenic syndromes (CMSs) are genetic disorders affecting motor function with variable symptoms. RAPSN-relate...
Neurogenetics
comment
0
thumb_up
0
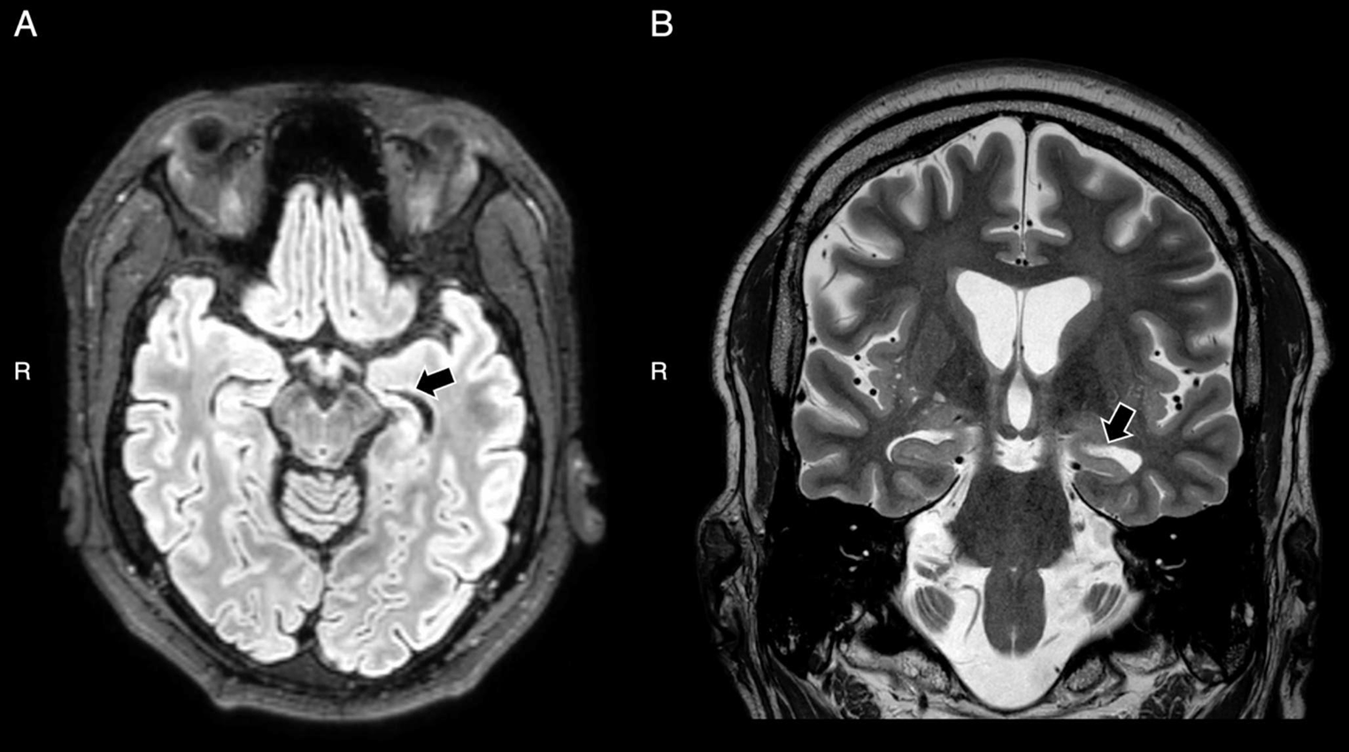
Giant axonal neuropathy: a rare inherited neuropathy with a novel mutation
We present a 7.5-year-old boy born to a family from the Iranian Azeri Turkish ethnic group with a consanguineous marriage ...
Neurogenetics
comment
0
thumb_up
0
Identification of a novel pathogenic gene, NDUFA3, in Leigh Syndrome through whole exome sequencing
Leigh syndrome is a common mitochondrial disorder caused by gene mutations in the nucleus and mitochondria. When building ...
Neurogenetics
comment
0
thumb_up
0
Three Iranian patients with rare subtypes of hereditary spastic paraplegia (HSP): SPG76, SPG56, and SPG69
Some subtypes of hereditary spastic paraplegia (HSP), especially with autosomal recessive inheritance (AR-HSP), have been ...
Neurogenetics
comment
0
thumb_up
0
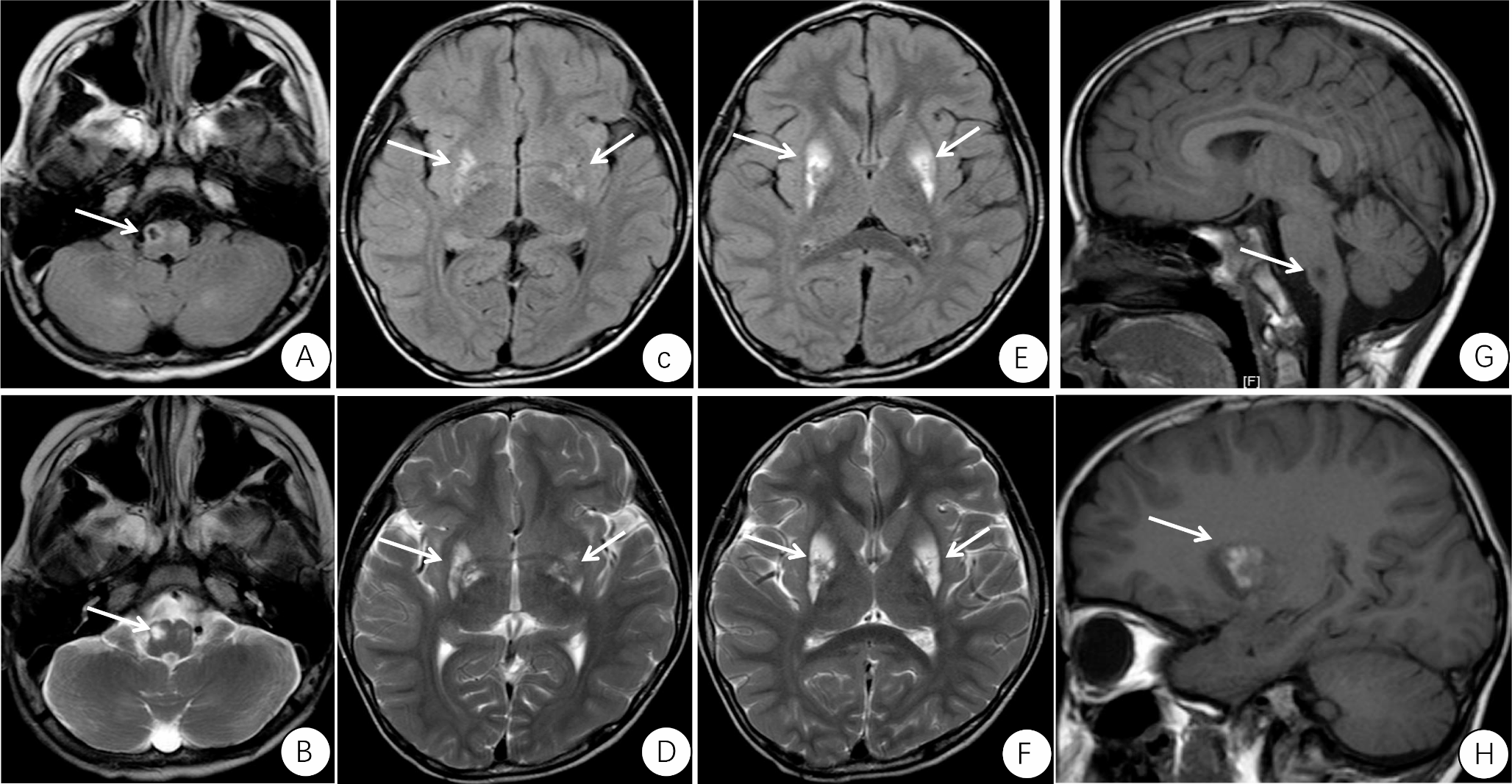
Neurodegeneration with brain iron accumulation 5: report of three cases
Neurodegeneration with brain iron accumulation 5 (NBIA5) is a distinctive type of NBIA phenotype that is caused by mutatio...
Neurogenetics
comment
0
thumb_up
0
Mendelian randomization study of causal link from Cerebrospinal fluid metabolomics to neurodegenerative diseases
To investigate the causal relationships between cerebrospinal fluid (CSF) metabolites and various neurodegenerative diseas...
Neurogenetics
comment
0
thumb_up
0
Brain malformation, neurodevelopmental disorder and epilepsy in a case of two rare genetic diseases: overlapping phenotype
In most cases there is a single etiological factor causing neuromotor developmental delay and epilepsy while sometimes mor...
Neurogenetics
comment
0
thumb_up
0
Computational modeling design of novel NMDAR agonist for the treatment of Schizophrenia
Schizophrenia (SZ) is a complex, chronic mental disorder characterized by positive symptoms (such as delusions and halluci...
Neurogenetics
comment
0
thumb_up
0
ATXN2 polyglutamine intermediate repeats length expansions in Malaysian patients with amyotrophic lateral sclerosis (ALS)
Intermediate CAG repeats from 29 to 33 in the ATXN2 gene contributes to the risk of amyotrophic lateral sclerosis (ALS) in...
Neurogenetics
comment
0
thumb_up
0
Neuronal ceroid lipofuscinosis 11 (CLN11) presenting with early-onset cone-rod dystrophy and learning difficulties
Neuronal Ceroid Lipofuscinosis 11 (CLN11) is an ultra-rare subtype of adult-onset Neuronal Ceroid Lipofuscinosis. Its phen...
Neurogenetics
comment
0
thumb_up
0
Neuroinflammation and neurodegeneration in Huntington’s disease: genetic hallmarks, role of metals and organophosphates
Huntington’s disease (HDs) is a fatal, autosomal dominant, and hereditary neurodegenerative disorder characterized b...
Neurogenetics
comment
0
thumb_up
0
Two novel cases of biallelic SMPD4 variants with brain structural abnormalities
Sphingomyelin phosphodiesterase 4 (SMPD4) encodes a member of the Mg2+-dependent, neutral sphingomyelinase family that cat...
Neurogenetics
comment
0
thumb_up
0
Lethal variant in the C2A domain may cause severe SYT1-associated neurodevelopmental disorder in the newborns
Synaptotagmin-1 (SYT1) plays a pivotal role in regulating presynaptic processes, including neurotransmitter release. SYT1 ...
Neurogenetics
comment
0
thumb_up
0
RETRACTED ARTICLE: Clinical characterization of familial 1p36.3 microduplication
Unlike the 1p36 microdeletion syndrome, which has been extensively described, 1p36.3 microduplications have rarely been re...
Neurogenetics
comment
0
thumb_up
0
Retraction Note: Clinical characterization of familial 1p36.3 microduplication
Open Access This article is licensed under a Creative Commons Attribution 4.0 International License, which...
Neurogenetics
comment
0
thumb_up
0
Correction to: High genetic heterogeneity of leukodystrophies in Iranian children: the first report of Iranian Leukodystrophy Registry
Myelin Disorders Clinic, Pediatric Neurology Division, Children’s Medical Center, Pediatrics Center of Excellence, Tehran ...
Neurogenetics
comment
0
thumb_up
0
A biallelic loss-of-function variant in TMEM147 causes profound intellectual disability and spasticity
Intellectual disability (ID), occurring in syndromic or non-syndromic forms, is the most common neurodevelopmental disorde...
Neurogenetics
comment
0
thumb_up
0
Adult-onset Alexander disease among patients of Jewish Syrian descent
Alexander disease (AxD) is a rare autosomal dominant leukodystrophy caused by heterozygous mutations in the glial fibrilla...
Neurogenetics
comment
0
thumb_up
0
Rare PMP22 variants in mild to severe neuropathy uncorrelated to plasma GDF15 or neurofilament light
Charcot-Marie-Tooth disease (CMT) is a heterogeneous set of hereditary neuropathies whose genetic causes are not fully und...
Neurogenetics
comment
0
thumb_up
0
High genetic heterogeneity of leukodystrophies in Iranian children: the first report of Iranian Leukodystrophy Registry
Leukodystrophies (LDs) are a heterogeneous group of progressive neurological disorders and characterized by primary involv...
Neurogenetics
comment
0
thumb_up
0
Clinical and functional study of two de novo variations of CDKL5 gene
The cyclin-dependent kinase like 5 (CDKL5) gene variation is X-linked dominant and is associated with type 2 developmental...
Neurogenetics
comment
0
thumb_up
0
Family and literature analysis demonstrates phenotypic effect of two variants in the calpain-3 gene
Both, recessive (LGMD R1) and dominant (LGMD D4) inheritance occur in calpain 3-related muscular dystrophy. We report a fa...
Neurogenetics
comment
0
thumb_up
0
A novel heterozygous ZBTB18 missense mutation in a family with non-syndromic intellectual disability
Intellectual disability (ID) is a common neurodevelopmental disorder characterized by significantly impaired adaptive beha...
Neurogenetics
comment
0
thumb_up
0
Spastic paraplegia type 76 due to novel CAPN1 mutations: three case reports with literature review
Spastic paraplegia type 76 (SPG76) is a subtype of hereditary spastic paraplegia (HSP) caused by calpain-1 (CAPN1) mutatio...
Neurogenetics
comment
0
thumb_up
0
Novel mutations and molecular pathways identified in patients with brain iron accumulation disorders
Brain iron accumulation disorders (BIADs) are a group of diseases characterized by iron overload in deep gray matter nucle...
Neurogenetics
comment
0
thumb_up
0
Load More
Modal title
×
Modal title
×
Share
Login
Global News and Health Forum
Join Now!
Member Login
Remember me
Forgot password?
Or using
Linkedin