×
Close
Login
Home
SCI Abstract
Library D
Community
Events
Events & Partner
WeMed
Media Partners
Educational Partner
User Tools
FAQ/USER GUIDE
Language
English
中文/ Chinese
Contact Us
×
Close
mdla_1
mdla_2
mdla_3
mdla_4
mdla_5
mdla_6
Categories
Clinical Neurology
16225
Global Medical University
4984
Allergy
1778
Anatomy & Morphology
1547
Andrology
414
Anesthesia & Intensive Care
1191
Anesthesiology
5409
Audiology & Speech-Language Pathology
333
Behavioral Sciences
104
Biochemical Research Methods
6773
Biochemistry & Molecular Biology
29193
Biodiversity Conservation
287
Biology
8218
Biophysics
8073
Biotechnology & Applied Microbiology
8124
Cardiac & Cardiovascular Systems
30613
Cardiovascular & Respiratory Systems
1372
Cell & Tissue Engineering
654
Cell Biology
10809
Chemistry, Analytical
4215
Chemistry, Applied
11000
Chemistry, Medicinal
8464
Chemistry, Multidisciplinary
18460
Clinical Immunology & Infectious Disease
425
Clinical Medicine
8743
Clinical Psychology & Psychiatry
1276
Critical Care Medicine
3123
Dentistry, Oral Surgery & Medicine
12879
Dermatology
7541
Developmental Biology
6887
Ecology
655
Education, Scientific Disciplines
1894
Emergency Medicine
3952
Endocrinology, Metabolism & Nutrition
23481
Engineering, Biomedical
3604
Entomology
432
Environmental Medicine & Public Health
4625
Evolutionary Biology
256
Gastroenterology & Hepatology
11803
General & Internal Medicine
6913
Genetics & Heredity
14689
Geriatrics & Gerontology
5009
Gerontology
334
Health Care Sciences & Services
15553
Health Policy & Services
601
Hematology
5452
Immunology
24612
Infectious Diseases
13606
Integrative & Complementary Medicine
2797
Medical Ethics
1138
Medical Informatics
2114
Medical Laboratory Technology
433
Medicine, General & Internal
44098
Medicine, Legal
479
Medicine, Research & Experimental
17396
Microbiology
22714
Mycology
0
Nanoscience & Nanotechnology
5003
Neuroimaging
1280
Neurology
4396
Neurosciences
38938
Nursing
9282
Nutrition & Dietetics
7771
Obstetrics & Gynecology
8032
Oncology
51417
Ophthalmology
9448
Optics
4041
Orthopedics
11319
Orthopedics, Rehabilitation & Sports Medicine
1713
Otolaryngology
1494
Otorhinolaryngology
4785
Parasitology
1033
Pathology
4837
Pediatrics
21020
Peripheral Vascular Disease
4644
Pharmacology & Pharmacy
33932
Pharmacology/Toxicology
12014
Physiology
8866
Polymer Science
539
Primary Health Care
794
Psychiatry
18811
Psychology
5057
Psychology, Applied
91
Psychology, Biological
316
Psychology, Clinical
784
Psychology, Developmental
235
Psychology, Educational
132
Psychology, Experimental
123
Psychology, Mathematical
0
Psychology, Multidisciplinary
1579
Psychology, Psychoanalysis
41
Psychology, Social
114
Public Health & Health Care Science
2205
Public, Environmental & Occupational Health
26934
Quantum Science & Technology
0
Radiology, Nuclear Medicine & Imaging
12009
Radiology, Nuclear Medicine & Medical Imaging
7764
Rehabilitation
2951
Remote Sensing
0
Reproductive Biology
2732
Reproductive Medicine
1164
Research/Laboratory Medicine & Medical Technology
3854
Respiratory System
7094
Rheumatology
5683
Social Sciences, Biomedical
1178
Substance Abuse
2656
Surgery
33130
Toxicology
4204
Transplantation
939
Tropical Medicine
314
Urology & Nephrology
12700
Veterinary Sciences
35
Virology
2371
Zoology
0
Channels
OTOLOGY & NEUROTOLOGY
347
Dental Journal of Advance Studies
47
JOURNAL OF BRACHIAL PLEXUS AND PERIPHERAL NERVE INJURY
31
International Journal of Epilepsy
23
ALZHEIMERS & DEMENTIA
174
ALZHEIMERS RESEARCH & THERAPY
430
ANNALS OF NEUROLOGY
197
BIPOLAR DISORDERS
122
BRAIN STIMULATION
0
CEPHALALGIA
109
CURRENT NEUROLOGY AND NEUROSCIENCE REPORTS
210
CURRENT OPINION IN NEUROLOGY
223
EUROPEAN ARCHIVES OF PSYCHIATRY AND CLINICAL NEUROSCIENCE
484
INTERNATIONAL JOURNAL OF STROKE
23
JOURNAL OF NEURODEVELOPMENTAL DISORDERS
142
JOURNAL OF NEUROLOGY
1009
LANCET NEUROLOGY
19
MULTIPLE SCLEROSIS JOURNAL
153
NATURE REVIEWS NEUROLOGY
392
NEUROGASTROENTEROLOGY AND MOTILITY
183
NEUROLOGY
2208
NEUROLOGY-NEUROIMMUNOLOGY & NEUROINFLAMMATION
323
NEUROSCIENTIST
20
PSYCHIATRY AND CLINICAL NEUROSCIENCES
59
SLEEP MEDICINE
0
THERAPEUTIC ADVANCES IN NEUROLOGICAL DISORDERS
57
ACTA NEUROLOGICA SCANDINAVICA
112
AMERICAN JOURNAL OF ALZHEIMERS DISEASE AND OTHER DEMENTIAS
25
ANNALS OF INDIAN ACADEMY OF NEUROLOGY
245
CEREBROVASCULAR DISEASES
223
CLINICAL EEG AND NEUROSCIENCE
53
CLINICAL JOURNAL OF PAIN
49
EPILEPSY & BEHAVIOR
0
EPILEPSY RESEARCH
0
EPILEPTIC DISORDERS
66
EUROPEAN NEUROLOGY
133
JOURNAL OF NEUROLOGIC PHYSICAL THERAPY
17
JOURNAL OF NEUROSURGICAL ANESTHESIOLOGY
67
JOURNAL OF PAIN RESEARCH
886
NEURODEGENERATIVE DISEASES
47
NEUROEPIDEMIOLOGY
113
NEUROLOGIST
33
PAIN AND THERAPY
291
PEDIATRIC NEUROLOGY
1
SCHMERZ
98
SEMINARS IN PEDIATRIC NEUROLOGY
118
SPINE
57
STROKE AND VASCULAR NEUROLOGY
191
JOURNAL OF NEUROLOGICAL SURGERY PART A-CENTRAL EUROPEAN NEUROSURGERY
228
JOURNAL OF THE NEUROLOGICAL SCIENCES
51
MULTIPLE SCLEROSIS AND RELATED DISORDERS
1281
NEUROLOGIC CLINICS
81
NEUROMUSCULAR DISORDERS
32
SEMINARS IN NEUROLOGY
211
ZEITSCHRIFT FUR EPILEPTOLOGIE
83
TREMOR AND OTHER HYPERKINETIC MOVEMENTS
83
SOMNOLOGIE
57
AFRICAN JOURNAL OF NEUROLOGICAL SCIENCES
55
BRAIN CIRCULATION
91
BRITISH JOURNAL OF PAIN
35
CASE REPORTS IN NEUROLOGY
152
CLINICAL NEUROPSYCHIATRY
23
DEMENTIA AND GERIATRIC COGNITIVE DISORDERS EXTRA
46
EUROPEAN STROKE JOURNAL
45
INTERVENTIONAL NEUROLOGY
10
IRANIAN JOURNAL OF CHILD NEUROLOGY
159
JOURNAL OF NEUROLOGICAL SURGERY REPORTS
67
JOURNAL OF NEUROSCIENCES IN RURAL PRACTICE
156
JOURNAL OF PEDIATRIC NEUROPSYCHOLOGY
59
MOVEMENT DISORDERS CLINICAL PRACTICE
187
MULTIPLE SCLEROSIS JOURNAL-EXPERIMENTAL TRANSLATIONAL AND CLINICAL
57
NEUROHOSPITALIST
54
NEUROLOGY AND CLINICAL NEUROSCIENCE
69
NEUROLOGY INTERNATIONAL
3
NEUROLOGY-CLINICAL PRACTICE
236
NEURO-ONCOLOGY PRACTICE
24
NEUROGENETICS
112
CURRENT PAIN AND HEADACHE REPORTS
243
NEUROCRITICAL CARE
567
NEUROLOGICAL SCIENCES
1177
NEURORADIOLOGY
492
SLEEP AND BIOLOGICAL RHYTHMS
189
SCI Abstract
search
ALL
RECOMMENDED
+
Indications of Effective Hyperbaric Oxygen Therapy Combined With Steroid Therapy for Sudden Hearing Loss
Objective This study evaluated the therapeutic effect of hyperbaric oxygen therapy (HBOT) combine
Otology & Neurotology
comment
0
thumb_up
0
Determinants of Cochlear Implant Satisfaction and Decisional Regret in Adult Cochlear Implant Users
Objective Determine associations expected and actual cochlear implant (CI) outcomes, decisional r
Otology & Neurotology
comment
0
thumb_up
0
Identification of Risk Factors for Mortality and Prolonged Hospitalization in Patients Treated With Surgical Drainage for Otogenic Intracranial Complications: A Nationwide Study Using a Japanese Inpatient Database
Objective Data on risk factors for otogenic intracranial complications including cerebral abscess
Otology & Neurotology
comment
0
thumb_up
0
Cytokine Profiling of Cyst Fluid and Tumor-Associated Macrophages in Cystic Vestibular Schwannoma
Background The vestibular schwannoma (VS) secretome can initiate monocyte recruitment and macroph
Otology & Neurotology
comment
0
thumb_up
0
Association of Smoke and Nicotine Product Consumption With Sensorineural Hearing Loss: A Population-Level Analysis
Objective To test the hypothesis that use of cigarettes or other products with either cigarette-l
Otology & Neurotology
comment
0
thumb_up
0
Perceptions Surrounding Cochlear Implants Among At-Risk and Qualifying Older Adults in the United States
Objective Limited evidence to date has examined public perceptions of cochlear implants among adu
Otology & Neurotology
comment
0
thumb_up
0
Rationale for the Development of a Novel Clinical Grading Scale for Postoperative Facial Nerve Function: Results of a Multidisciplinary International Working Group
Objective The objective of the current study was to present the results of an international worki
Otology & Neurotology
comment
0
thumb_up
0
A Multicenter Comparison of 1-yr Functional Outcomes and Programming Differences Between the Advanced Bionics Mid-Scala and SlimJ Electrode Arrays
Objective To determine if there is a difference in hearing outcomes or stimulation levels between
Otology & Neurotology
comment
0
thumb_up
0
High-Frequency Gain and Maximum Output Effects on Speech Recognition in Bone-Conduction Hearing Devices: Blinded Study
Introduction Bone-conduction hearing device (BCHD) uses natural sound transmission through bone a
Otology & Neurotology
comment
0
thumb_up
0
Exoscope-Assisted Stapedotomy: Evaluation of Safety and Efficacy
Objective Evaluate the safety and efficacy of exoscope-assisted stapedotomy. Study Design Re
Otology & Neurotology
comment
0
thumb_up
0
COMPLIMENTS TO SHAIDA ET AL. IN DESCRIBING SWELLING OVER COCHLEAR IMPLANT RECEIVER-STIMULATOR PACKAGE: MOREL-LAVALLÉE IS LIKELY AN ETIOLOGIC MECHANISM
Department of Otolaryngology–Head and Neck Surgery Emory University School of Medicine, Atlanta, Georgia Depa...
Otology & Neurotology
comment
0
thumb_up
0
RECURRENT SWELLING IN PEDIATRIC COCHLEAR IMPLANT PATIENTS: A RESPONSE
We thank Oh et al. for raising the idea that these cases may represent Morel-Lavallee lesions (MLLs). Certainly, there are...
Otology & Neurotology
comment
0
thumb_up
0
Investigating Socioeconomic Barriers to Cochlear Implantation
Objective To explore socioeconomic disparities in cochlear implant evaluation (CIE) referrals and
Otology & Neurotology
comment
0
thumb_up
0
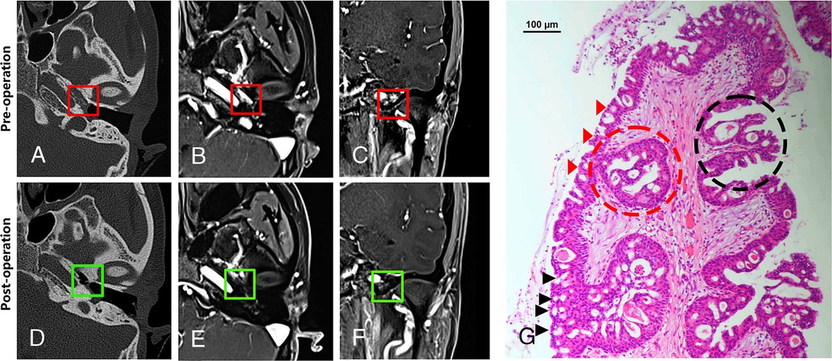
Key Genes and Endoscopic Radical Surgery in Primary Middle Ear Oncocytic Papillomas
Objective Papillomas originating from the Schneiderian epithelium within the middle ear are extre
Otology & Neurotology
comment
0
thumb_up
0
Incidence of Vestibular Schwannoma in Patients with Unilateral Tinnitus: A Systematic Review and Meta-Analysis
Objectives Vestibular schwannoma (VS) is a tumor of the vestibulocochlear nerve. Current literatu
Otology & Neurotology
comment
0
thumb_up
0
Results of a Novel, Nonsurgical Bone-Conduction Hearing Aid for the Treatment of Conductive Hearing Loss in Australian Children
Objective To determine and compare the benefits a novel adhesive bone-conduction system and a con
Otology & Neurotology
comment
0
thumb_up
0
Cognitive Performance, Sociodemographic Factors, Pure-Tone Audiometry, and their Association with Speech Discrimination: A Prospective Population-Based Study of 1,061 Older Adults
Objective Hearing loss is increasingly recognized as a chronic disease state with important healt
Otology & Neurotology
comment
0
thumb_up
0
Longitudinal Auditory Benefit for Elderly Patients After Cochlear Implant for Bilateral Hearing Loss, Including Those Meeting Expanded Centers for Medicare & Medicaid Services Criteria
Objective To examine the effect of patient age on longitudinal speech understanding outcomes afte
Otology & Neurotology
comment
0
thumb_up
0
Incomplete Partition Type II Cochlear Malformations: Delineating the Three-Dimensional Structure from Digitized Human Histopathological Specimens
Hypothesis There are clinically relevant differences in scalae anatomy and spiral ganglion neuron
Otology & Neurotology
comment
0
thumb_up
0
Rates of Delayed Postcochlear Implant Pain in the Pediatric Population—Role of Proactive Approach
Objective To investigate the rates of delayed postoperative cochlear implantation pain (DPCIP) in
Otology & Neurotology
comment
0
thumb_up
0
Cochlear Implant Upper Stimulation Levels: eSRT vs. Loudness Scaling
Objective To assess the difference in speech recognition and sound quality between programming up
Otology & Neurotology
comment
0
thumb_up
0
Development and Chinese Cross-Cultural Adaptation of the Cochlear Implant Quality-of-Life Survey
Objective To conduct the Chinese cross-cultural adaptation of the Cochlear Implant Quality of Lif
Otology & Neurotology
comment
0
thumb_up
0
The Dependency of Cochlear Lateral Wall Measurements on Observer and Imaging Type
Hypothesis Assessment techniques for the cochlear spatial lateral wall are associated with inter-
Otology & Neurotology
comment
0
thumb_up
0
Metformin Reduces Tumor Growth in a Murine Flank Schwannoma Model
Hypothesis Metformin and aspirin reduce vestibular schwannoma (VS) growth. Background There
Otology & Neurotology
comment
0
thumb_up
0
Effects of Early Vestibular Rehabilitation in Patients With Acute Vestibular Disorder: A Systematic Review and Meta-Analysis
Objectives To investigate the effect of early vestibular rehabilitation on physical function and
Otology & Neurotology
comment
0
thumb_up
0
Metformin Protects Against Noise-Induced Hearing Loss in Male Mice
Hypothesis Metformin treatment will protect mice from noise-induced hearing loss (NIHL). Backgr
Otology & Neurotology
comment
0
thumb_up
0
Longitudinal Patient Outcomes in Chronic Dizziness: A Scoping Review
Background Chronic dizziness can cause significant functional impairment. Outcome measures used i
Otology & Neurotology
comment
0
thumb_up
0
Round-Window Vibroplasty: Systematic Review and Meta-Analysis of Audiological Effectiveness With Different Round-Window Coupling Techniques
Objective Active middle ear implants can be directly coupled to the round-window (RW) membrane vi
Otology & Neurotology
comment
0
thumb_up
0
Health Insurance Coverage of Cochlear Implantation in Single-Sided Deafness and Asymmetric Hearing Loss
Objective There is increasing interest in providing cochlear implants (CIs) in single-sided deafn
Otology & Neurotology
comment
0
thumb_up
0
Predictors of Career Placement Among American Neurotology Society Fellowship Graduates
Abstract and Objective To identify predictors of practice type and location after neurotology fel
Otology & Neurotology
comment
0
thumb_up
0
Load More
Modal title
×
Modal title
×
Share
Login
Global News and Health Forum
Join Now!
Member Login
Remember me
Forgot password?
Or using
Linkedin