×
Close
Login
Home
SCI Abstract
Library D
Community
Events
Events & Partner
WeMed
Media Partners
Educational Partner
User Tools
FAQ/USER GUIDE
Language
English
中文/ Chinese
Contact Us
×
Close
mdla_1
mdla_2
mdla_3
mdla_4
mdla_5
mdla_6
Categories
Radiology, Nuclear Medicine & Imaging
12009
Global Medical University
4984
Allergy
1778
Anatomy & Morphology
1547
Andrology
414
Anesthesia & Intensive Care
1191
Anesthesiology
5409
Audiology & Speech-Language Pathology
333
Behavioral Sciences
104
Biochemical Research Methods
6773
Biochemistry & Molecular Biology
29193
Biodiversity Conservation
287
Biology
8218
Biophysics
8073
Biotechnology & Applied Microbiology
8124
Cardiac & Cardiovascular Systems
30613
Cardiovascular & Respiratory Systems
1372
Cell & Tissue Engineering
654
Cell Biology
10809
Chemistry, Analytical
4215
Chemistry, Applied
11000
Chemistry, Medicinal
8464
Chemistry, Multidisciplinary
18460
Clinical Immunology & Infectious Disease
425
Clinical Medicine
8743
Clinical Neurology
16225
Clinical Psychology & Psychiatry
1276
Critical Care Medicine
3123
Dentistry, Oral Surgery & Medicine
12879
Dermatology
7541
Developmental Biology
6887
Ecology
655
Education, Scientific Disciplines
1894
Emergency Medicine
3952
Endocrinology, Metabolism & Nutrition
23481
Engineering, Biomedical
3604
Entomology
432
Environmental Medicine & Public Health
4625
Evolutionary Biology
256
Gastroenterology & Hepatology
11803
General & Internal Medicine
6913
Genetics & Heredity
14689
Geriatrics & Gerontology
5009
Gerontology
334
Health Care Sciences & Services
15553
Health Policy & Services
601
Hematology
5452
Immunology
24612
Infectious Diseases
13606
Integrative & Complementary Medicine
2797
Medical Ethics
1138
Medical Informatics
2114
Medical Laboratory Technology
433
Medicine, General & Internal
44098
Medicine, Legal
479
Medicine, Research & Experimental
17396
Microbiology
22714
Mycology
0
Nanoscience & Nanotechnology
5003
Neuroimaging
1280
Neurology
4396
Neurosciences
38938
Nursing
9282
Nutrition & Dietetics
7771
Obstetrics & Gynecology
8032
Oncology
51417
Ophthalmology
9448
Optics
4041
Orthopedics
11319
Orthopedics, Rehabilitation & Sports Medicine
1713
Otolaryngology
1494
Otorhinolaryngology
4785
Parasitology
1033
Pathology
4837
Pediatrics
21020
Peripheral Vascular Disease
4644
Pharmacology & Pharmacy
33932
Pharmacology/Toxicology
12014
Physiology
8866
Polymer Science
539
Primary Health Care
794
Psychiatry
18811
Psychology
5057
Psychology, Applied
91
Psychology, Biological
316
Psychology, Clinical
784
Psychology, Developmental
235
Psychology, Educational
132
Psychology, Experimental
123
Psychology, Mathematical
0
Psychology, Multidisciplinary
1579
Psychology, Psychoanalysis
41
Psychology, Social
114
Public Health & Health Care Science
2205
Public, Environmental & Occupational Health
26934
Quantum Science & Technology
0
Radiology, Nuclear Medicine & Medical Imaging
7764
Rehabilitation
2951
Remote Sensing
0
Reproductive Biology
2732
Reproductive Medicine
1164
Research/Laboratory Medicine & Medical Technology
3854
Respiratory System
7094
Rheumatology
5683
Social Sciences, Biomedical
1178
Substance Abuse
2656
Surgery
33130
Toxicology
4204
Transplantation
939
Tropical Medicine
314
Urology & Nephrology
12700
Veterinary Sciences
35
Virology
2371
Zoology
0
Channels
CLINICAL NUCLEAR MEDICINE
576
ABDOMINAL RADIOLOGY
39
CANCER IMAGING
227
EJNMMI PHYSICS
200
EJNMMI RESEARCH
251
EUROPEAN JOURNAL OF NUCLEAR MEDICINE AND MOLECULAR IMAGING
940
EUROPEAN RADIOLOGY
1476
EUROPEAN RESPIRATORY JOURNAL
1150
JOURNAL OF CARDIOVASCULAR MAGNETIC RESONANCE
7
JOURNAL OF NUCLEAR CARDIOLOGY
669
MEDICAL IMAGE ANALYSIS
761
MOLECULAR IMAGING AND BIOLOGY
303
RADIOTHERAPY AND ONCOLOGY
0
SEMINARS IN NUCLEAR MEDICINE
193
ULTRASCHALL IN DER MEDIZIN
308
ULTRASOUND IN OBSTETRICS & GYNECOLOGY
309
ABDOMINAL RADIOLOGY
62
APPLIED RADIATION AND ISOTOPES
1
BRITISH JOURNAL OF RADIOLOGY
613
CANADIAN ASSOCIATION OF RADIOLOGISTS JOURNAL-JOURNAL DE L ASSOCIATION CANADIENNE DES RADIOLOGISTES
89
DENTOMAXILLOFACIAL RADIOLOGY
122
DIAGNOSTIC AND INTERVENTIONAL IMAGING
260
JOURNAL OF APPLIED CLINICAL MEDICAL PHYSICS
204
JOURNAL OF CLINICAL ULTRASOUND
125
JOURNAL OF COMPUTER ASSISTED TOMOGRAPHY
84
JOURNAL OF MEDICAL IMAGING AND RADIATION ONCOLOGY
128
JOURNAL OF THE BELGIAN SOCIETY OF RADIOLOGY
209
PHYSICA MEDICA-EUROPEAN JOURNAL OF MEDICAL PHYSICS
0
MAGNETIC RESONANCE IMAGING
459
MAGNETIC RESONANCE IMAGING CLINICS OF NORTH AMERICA
71
MEDICAL DOSIMETRY
26
SA JOURNAL OF RADIOLOGY
101
JAPANESE JOURNAL OF RADIOLOGY
388
JOURNAL OF DIGITAL IMAGING
438
JOURNAL OF MEDICAL ULTRASONICS
294
MAGNETIC RESONANCE MATERIALS IN PHYSICS BIOLOGY AND MEDICINE
245
PEDIATRIC RADIOLOGY
681
SCI Abstract
search
ALL
RECOMMENDED
+
Increased 18F-FAPI-04 Uptake in Vertebral Hemangioma
A 54-year-old man with a history of colectomy for colorectal cancer and subsequent liver metastasect
Clinical Nuclear Medicine
comment
0
thumb_up
0
Pitfall of 18F-PSMA PyL PET/CT Imaging of a Displaced Urinary Bladder as Recurrent Prostate Malignancy
We herein present a potential pitfall in the setting of restaging PSMA PyL PET/CT. In this case, the
Clinical Nuclear Medicine
comment
0
thumb_up
0
FDG PET/CT in a Case of Thoracic SMARCA4-Deficient Undifferentiated Tumor
Thoracic SMARCA4-deficient undifferentiated tumor is a rare, newly recognized poorly differentiated
Clinical Nuclear Medicine
comment
0
thumb_up
0
Randall-Type Monoclonal Immunoglobulin Deposition Disease in Bone Scintigraphy
Bone scintigraphy is recognized as a noninvasive alternative to endomyocardial biopsy for the diagno
Clinical Nuclear Medicine
comment
0
thumb_up
0
Simultaneous Uptake of 18F-NaF and 18F-FDG by Bladder and Prostate Calculi
Calcification and formation of calculi in the genitourinary system such as the bladder, kidney, and
Clinical Nuclear Medicine
comment
0
thumb_up
0
FDG PET/CT in Hantavirus Hemorrhagic Fever With Renal Syndrome
A 58-year-old man with fever, myalgia, and dysuria was admitted to the hospital. Because of prolonge
Clinical Nuclear Medicine
comment
0
thumb_up
0
68Ga-FAPI-04 Detected Hepatic Arteriovenous Malformation in a Patient With IgA Nephropathy
A 51-year-old woman with a history of IgA nephropathy was found to have a mass in the right lobe of
Clinical Nuclear Medicine
comment
0
thumb_up
0
Elevated FAPI Activity in Ulcerative Fungal Esophagitis
We report a case of ulcerative fungal esophagitis with elevated activity of 18F-FDG and 68Ga-FAPI (f
Clinical Nuclear Medicine
comment
0
thumb_up
0
Multiple Intrahepatic Inflammatory Myofibroblastic Tumor on 68Ga-FAPI and 18F-FDG PET/CT
A 31-year-old man with multiple intrahepatic inflammatory myofibroblastoma tumor was referred to nuc
Clinical Nuclear Medicine
comment
0
thumb_up
0
177Lu-DOTATATE (Lutathera) Therapy in 68Ga-DOTATATE PET/CT-Negative Liver Metastases of a Neuroendocrine Tumor
A 73-year-old man with metastatic pancreatic neuroendocrine tumor was evaluated with 68Ga-DOTATATE P
Clinical Nuclear Medicine
comment
0
thumb_up
0
68Ga-PSMA-11 PET/CT Imaging in Brain Gliomas and Its Correlation With Clinicopathological Prognostic Parameters
Background Gliomas are the most common primary central nervous system tumors, of which the malign
Clinical Nuclear Medicine
comment
0
thumb_up
0
Extramedullary Hematopoiesis in Treated Diffuse Large B-Cell Lymphoma of Bone
A 65-year-old man with a history of diffuse large B-cell bone lymphoma of the right radius underwent
Clinical Nuclear Medicine
comment
0
thumb_up
0
Artificial Intelligence–Driven Single-Shot PET Image Artifact Detection and Disentanglement: Toward Routine Clinical Image Quality Assurance
Purpose Medical imaging artifacts compromise image quality and quantitative analysis and might co
Clinical Nuclear Medicine
comment
0
thumb_up
0
FDG PET/CT Image of Extramedullary Plasmacytoma in the Anterior Mediastinum
Extramedullary plasmacytoma in the anterior mediastinum is very rare. We report FDG PET/CT findings
Clinical Nuclear Medicine
comment
0
thumb_up
0
Giant Fibrovascular Polyp Mimicking Esophageal Malignancy on 18F-FDG PET/CT
A 52-year-old man presented with continuous dull pain from the throat to the epigastric region with
Clinical Nuclear Medicine
comment
0
thumb_up
0
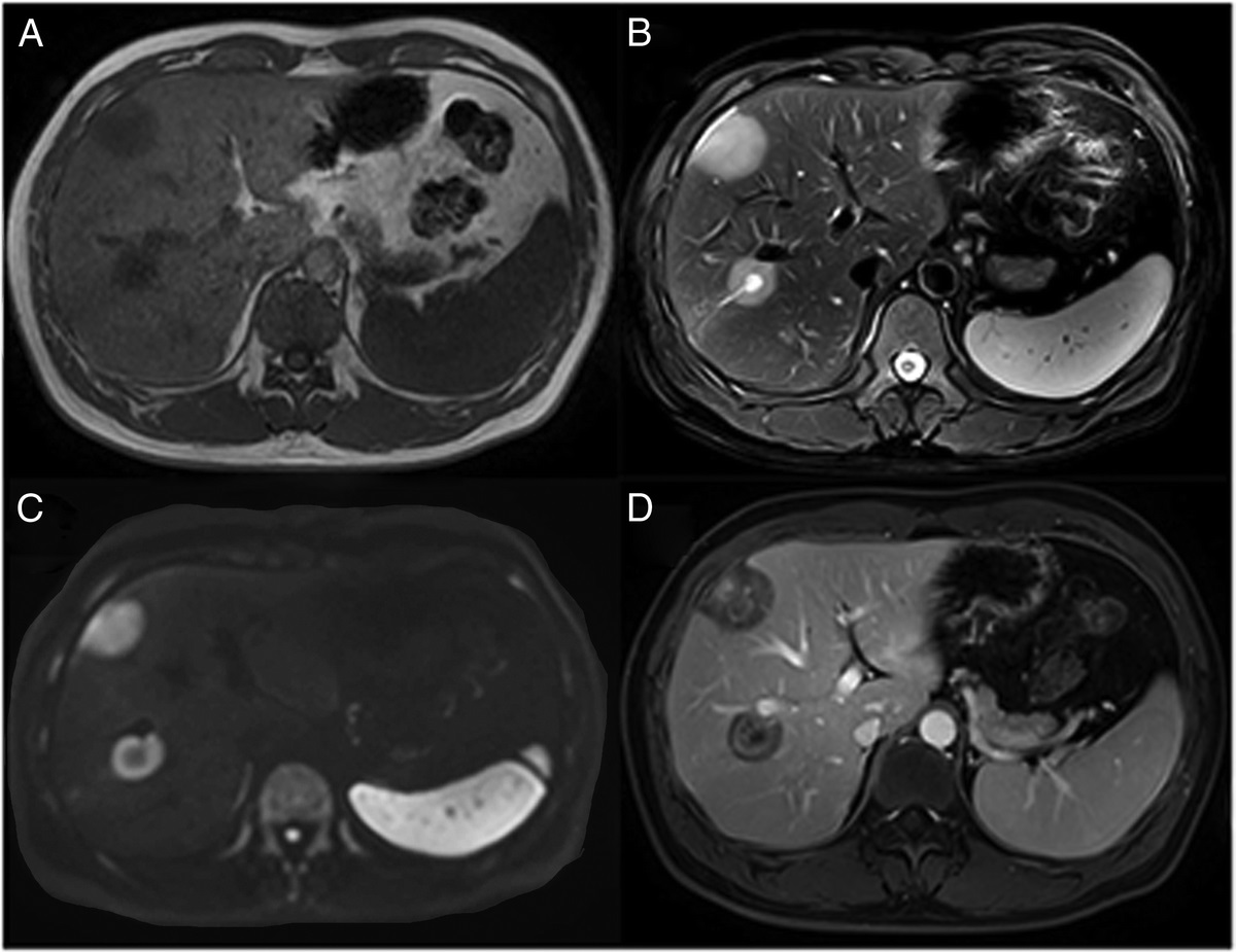
Hepatic Cavernous Hemangioma Mimicking Malignancy on 18F-FDG PET/CT Imaging
A 65-year-old woman was referred to our hospital because of a liver lesion revealed by ultrasound an
Clinical Nuclear Medicine
comment
0
thumb_up
0
Large Bladder Stone Detected on Renal Scintigraphy
A 39-year-old woman with hydronephrosis underwent 99mTc-DTPA renal dynamic scintigraphy to evaluate
Clinical Nuclear Medicine
comment
0
thumb_up
0
Unusual Case of Primary Hepatic Squamous Carcinoma on 18F-FDG PET/CT
Primary hepatic squamous carcinoma is an extremely rare liver tumor type with high malignancy and po
Clinical Nuclear Medicine
comment
0
thumb_up
0
Solitary Neuroblastoma in the Scapula
Majority of primary pediatric neuroblastomas occur in the abdomen, followed by posterior mediastinum
Clinical Nuclear Medicine
comment
0
thumb_up
0
Comparison of 68Ga-PSMA-HBED-CC and 18F-FDG PET/CT in the Evaluation of Adenoid Cystic Carcinoma—A Prospective Study
Purpose of Study 18F-FDG PET/CT plays a major role in diagnosis and staging of head and neck canc
Clinical Nuclear Medicine
comment
0
thumb_up
0
68Ga-PSMA PET/CT Images of Multiple Cutaneous Metastases in a Patient With Prostate Carcinoma: Complete Response to: 177: Lu-PSMA-617 Treatment
Although distant cutaneous metastasis is an uncommon presentation of prostate cancer, it remains an
Clinical Nuclear Medicine
comment
0
thumb_up
0
Isolated Skull Metastasis With Unusual Spiculated Periosteal Reaction From Rectal Cancer Resembling Osteosarcoma on FDG PET/CT
We describe FDG PET/CT findings in a case of isolated skull metastasis with spiculated periosteal re
Clinical Nuclear Medicine
comment
0
thumb_up
0
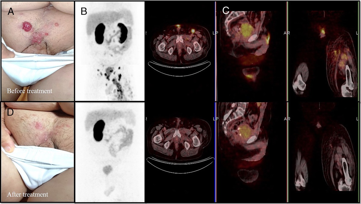
Skin and Subcutaneous Tissue Metastases of the Pulmonary Carcinoid Tumor on 68Ga-DOTATATE PET/CT
Pulmonary carcinoid tumors are a very rare type of neuroendocrine tumor, accounting for only 1% to 2
Clinical Nuclear Medicine
comment
0
thumb_up
0
Pembrolizumab-Associated Pneumonitis Resembling Lymphangitic Carcinomatosis in a Melanoma Patient
In recent years, many articles have described the adverse events associated with immune checkpoint i
Clinical Nuclear Medicine
comment
0
thumb_up
0
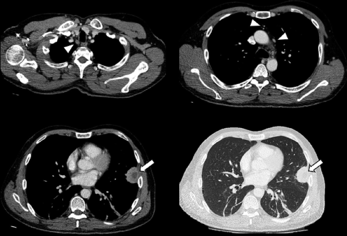
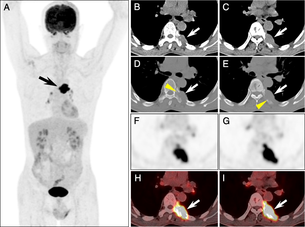
Syphilis Mimicking Malignant Pulmonary Tumor With Nodal and Bone Metastasis on 18F-FDG PET/CT
A 52-year-old man suffering left pleuritic pain underwent a chest CT showing a subpleural pulmonary
Clinical Nuclear Medicine
comment
0
thumb_up
0
68Ga-PSMA PET/CT in Hepatic Metastasis From Pancreatic Neuroendocrine Tumor
A 53-year-old man underwent both 18F-FDG and 68Ga-PSMA PET/CT to evaluate a mass in the left upper a
Clinical Nuclear Medicine
comment
0
thumb_up
0
Increased 68Ga-FAPI Activity in Primary Small Cell Neuroendocrine Carcinoma of the Gallbladder
Primary small cell neuroendocrine carcinomas are extremely rare heterogeneous neoplasms. We present
Clinical Nuclear Medicine
comment
0
thumb_up
0
Partial Radiation Nephrectomy Using 90Y Resin Microspheres: A Treatment Option for Renal Tumors With Malignant Characteristics in Patients Not Candidates for Surgery
Contrast-enhancing renal masses are likely to be malignant in over 90% of cases due to the high diag
Clinical Nuclear Medicine
comment
0
thumb_up
0
Small Bowel Metastases From Malignant Phyllodes Breast Tumor Detected by 18F-FDG PET/CT
The most common sites of distant metastases are lung, bone, pleura, and mediastinum in malignant phy
Clinical Nuclear Medicine
comment
0
thumb_up
0
Dynamic CZT-SPECT: Characterizing the Lower Values of Myocardial Blood Flow and Reserve
CZT-SPECT myocardial perfusion enables quantification of myocardial blood flow (MBF). Normal values
Clinical Nuclear Medicine
comment
0
thumb_up
0
Load More
Modal title
×
Modal title
×
Share
Login
Global News and Health Forum
Join Now!
Member Login
Remember me
Forgot password?
Or using
Linkedin