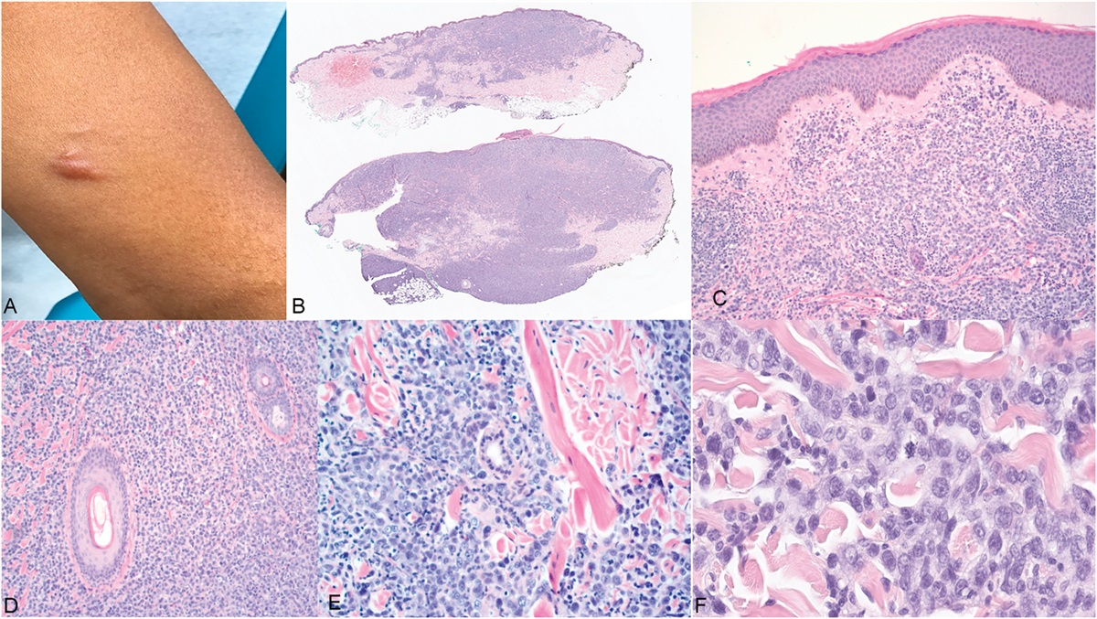
Epstein–Barr Virus–Associated Lymphomatoid Papules: A Sign of Immunosuppression Resembling Lymphomatoid Papulosis

*Resident Physician, Department of Dermatology, Northwestern University, Chicago, IL;

†Assistant Professor, Department of Dermatology, Asan Medical Center, University of Ulsan College of Medicine, Seoul, Korea;

‡Assistant Professor, Department of Dermatology, Northwestern University, Chicago, IL;

§Visiting Predoctoral Research Fellow, Department of Dermatology, Northwestern University, Chicago, IL; and

¶Professor, Department of Dermatology, Northwestern University, Chicago, IL.

Correspondence: Joan Guitart, MD, Professor, Department of Dermatology, Northwestern University, 676 N. St, Clair Street, Suite 1765, Chicago, IL 60611 (e-mail: [email protected]).

J. Guitart has disclosed that he is a consultant/advisor to Castle Diagnostics, Elorac, and Kyowa Kirin. All other authors, faculty, and staff have no relevant financial relationships with any ineligible organizations.

Lippincott CME Institute has identified and mitigated all relevant financial relationships regarding this educational activity.

Comments (0)

No login
gif