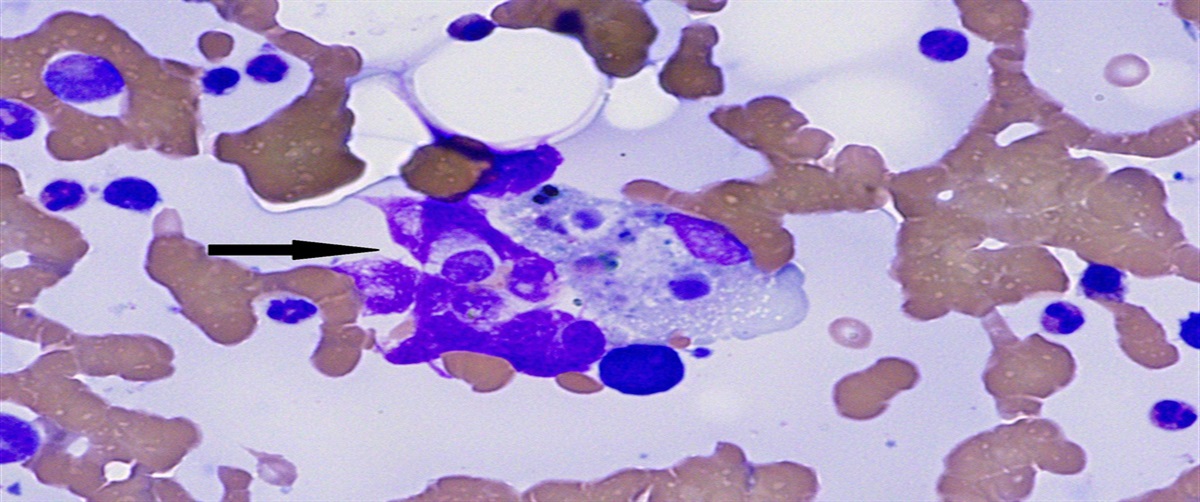
Large Unidentified Neck Mass in an Immunocompetent Patient

From the ∗Division of Infectious Diseases, Department of Pharmacy

†Division of Infectious Diseases, University of New Mexico Health Sciences Center, Albuquerque, NM.

Correspondence to: M. Gabriela Cabanilla, PharmD, PhC, Division of Infectious Diseases, Department of Pharmacy, University of New Mexico Health Sciences Center, 2211 Lomas Blvd NE, Albuquerque, NM 87106. E-mail: [email protected].

M. Gabriela Cabanilla ORCID ID: 0000-0001-5402-0240

The authors have no funding or conflicts of interest to disclose.

Comments (0)

No login
gif